치아미백

치아미백

누렇게 변한 치아, 미백으로 새하얗게!

전문가 치아미백

서울리멤버치과의 치아미백이란?

치아는 나이, 음식, 생활 습관 등으로 본래 색보다 어두워질 수 있습니다.
치아미백은 변색된 치아를 자연스러운 본래의 색으로 회복하거나 한층 더 밝히는 시술입니다.
미백제 도포 후 특수 광선을 조사해 치아 손상 없이 안전하게 색상을 개선합니다.
효과적이고 안전한 시술로, 단기간에 밝고 자신 있는 미소를 되찾으실 수 있습니다.

전문가 치아미백

치아미백 시술 전 준비 과정

01

스케일링 및
충치 치료가 필요한 경우

치과 내원 시 먼저 충치나 치석 여부를 확인하고, 필요하다면 치료를 선행합니다.
충치나 치석으로 인해 잇몸에 염증이 있으면 미백제가 자극을 줄 수 있기 때문입니다.

스케일링 및 충치 치료가 필요한 경우
02

시린이 증상이
있는 경우

치아에 미세한 균열이 있거나 잘못된 칫솔질로 치아와 잇몸 경계가 손상된 경우,
미백 과정에서 시린 증상이 생길 수 있어, 치료 후 미백을 진행하는 것이 좋습니다.

시린이 증상이 있는 경우

치아미백 진행 과정

검진 및 스케일링

검진 및 스케일링

검진을 통해, 충치나 치석이 있을 경우
스케일링을 통해 깨끗하게 정리합니다.

화살표
잇몸 보호제 도포

잇몸 보호제 도포

미백제에 의해 잇몸이 자극되지 않도록
치아 주변에 잇몸 보호제를 꼼꼼히 도포합니다.

화살표
치아 표면 미백제 도포

치아 표면 미백제 도포

개인의 치아 상태에 맞는
전문 미백제를 치아 표면에 고르게 바릅니다.

화살표
약 30분간 미백 광원 조사

약 30분간 미백 광원 조사

특수 광원을 조사하여
치아에 손상 없이 안전하게 밝기를 개선합니다.

서울리멤버치과
치아미백 치료대상

치아의 수명을 결정짓는 보존적 치료를 진행할 것을 약속드립니다.

직접 눈으로 확인하는 치아미백 전/후 차이

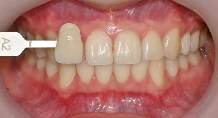
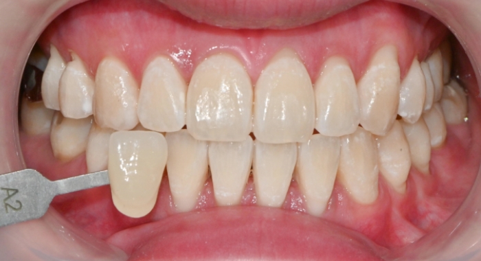
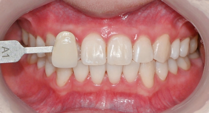
BEFORE BEFORE (A2 - 어두움)
화살표
AFTER AFTER (A1 - 밝음)

치료기간 : 2023.06.02

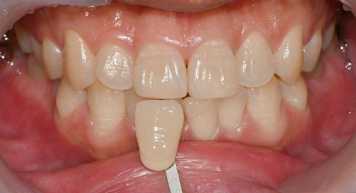
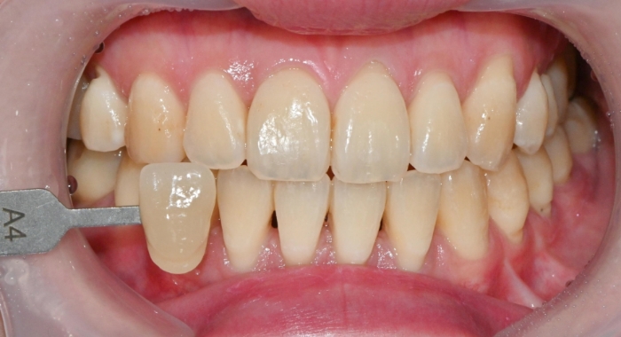
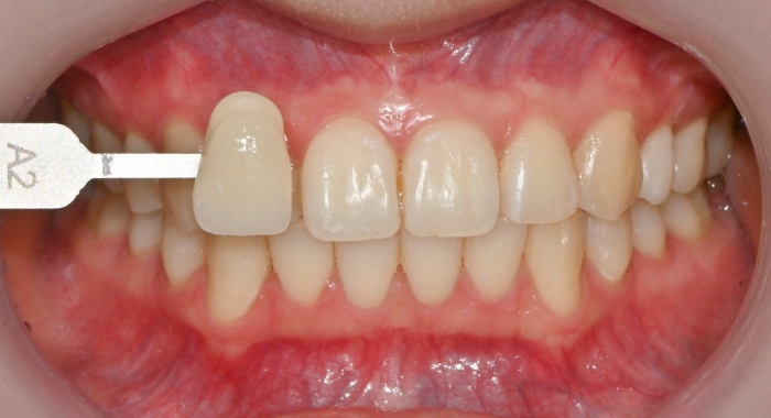
BEFORE BEFORE (A4 - 어두움)
화살표
AFTER AFTER (A2 - 밝음)

치료기간 : 2023.12.20

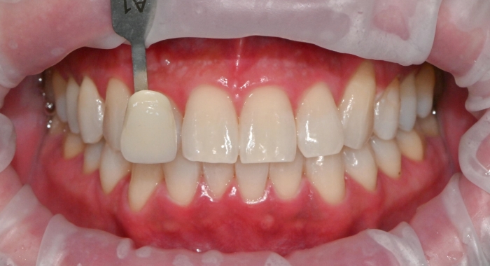
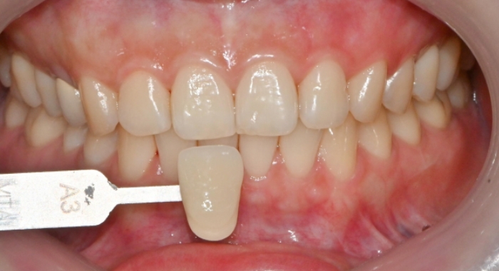
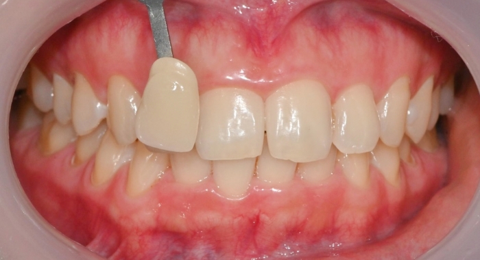
BEFORE BEFORE (A3 - 어두움)
화살표
AFTER AFTER (A1 - 밝음)

치료기간 : 2024.05.07

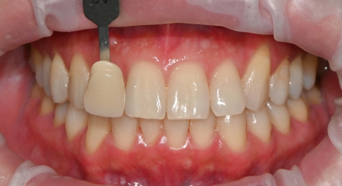
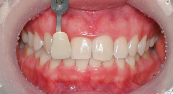
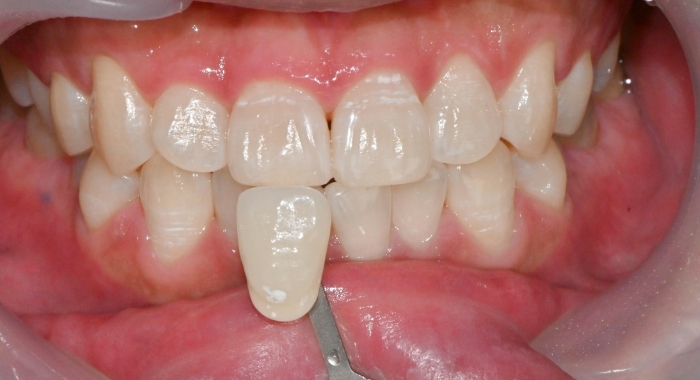
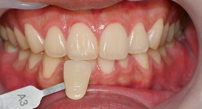
BEFORE BEFORE (A3 - 어두움)
화살표
AFTER AFTER (A1 - 밝음)

치료기간 : 2024.07.18

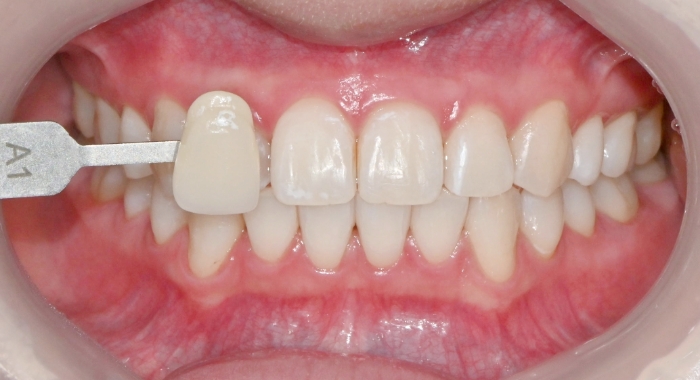
BEFORE BEFORE (A3 - 어두움)
화살표
AFTER AFTER (A1 - 밝음)

치료기간 : 2024.11.27

BEFORE BEFORE (A2 - 어두움)
화살표
AFTER AFTER (A1 - 밝음)

치료기간 : 2025.03.07

BEFORE BEFORE (A3 - 어두움)
화살표
AFTER AFTER (B1 - 밝음)

치료기간 : 2025.07.15

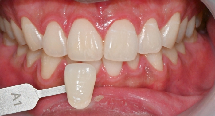
BEFORE BEFORE (A3 - 어두움)
화살표
AFTER AFTER (A1 - 밝음)

치료기간 : 2025.08.04

*본 CASE는 동일 조건에서 촬영되었으며, 환자 본인의 동의를 얻어 게재되었습니다.
모든 치료 결과는 개인에 따라 차이가 있을 수 있으며,부작용이 발생할 수 있으므로, 전문 의료진과의 충분한 상담이 필요합니다.

서울리멤버치과의원